Realizamos un diagnóstico personalizado y totalmente gratuito. Nuestro equipo de odontólogos y especialistas estudiaran tu caso en base a la información facilitada y te recomendarán el tratamiento más óptimo para ti.
CARILLAS SIN TALLADO DE DIENTES
Las carillas sin tallado del diente o microcarillas mejoran la estética dental sin desgastar el esmalte, ofreciendo una solución ultrafina, natural y mínimamente invasiva.
TRATAMIENTO CON CARILLAS SIN TALLAR EL DIENTE (MICROCARILLAS)
ESPECIALISTAS EN CARILLAS SIN TALLAR EL DIENTE EN MADRID
En Clínica dental Bernabeu Madrid somos especialistas en carillas sin tallar o pulir el diente, desde finas láminas o fragmentos de porcelana, a carillas de composite.
Las microcarillas son finas láminas confeccionadas en cerámica o composite que se adhieren a los dientes naturales.
A diferencia de otras técnicas utilizadas, las carillas sin tallar el diente o carillas sin desgastar diente son una técnica mínimamente invasiva para solventar problemas de estética dental.

Carillas sin tallado
PROBLEMAS ESTÉTICOS QUE PUEDEN CORREGIRSE CON MICROCARILLAS

- Blanquear dientes manchados extrínsecamente por tabaco, café, té, vino, etc., o intrínsecamente por tetraciclinas.
- Alinear dientes ligeramente torcidos o hundidos hacia dentro.
- Alargar dientes cortos, cerrar pequeños espacios o diastemas y arreglar dientes astillados o fracturados.
- La erosión producida por los ácidos de la dieta, reflujo gástrico o algún trastorno alimenticio que se haya producido en alguna etapa de la vida del paciente.
- La abrasión dental producida habitualmente por una técnica de cepillado traumática o incorrecta, causando recesiones en la encía y dando lugar a sensibilidad.
- El bruxismo, el cual produce un desgaste muy abrupto a lo largo de los años en toda la superficie dentaria.

No invasivas:
No es necesario desgastar el esmalte natural, preservando al máximo la estructura dental.

Resultados inmediatos:
En tan solo dos citas, puedes lucir una sonrisa completamente renovada.

Indicadas para dientes sanos:
Son ideales para pacientes con dientes alineados y sin defectos estructurales graves.
Opciones en porcelana y resina:
Disponibles en materiales como la porcelana para un acabado ultra natural o resina para una solución económica y efectiva.
Tipos de Carillas que pueden ser colocadas sin desgastar o tallar el diente
Las diferentes opciones de laminas dentales ofrecen soluciones adaptadas a las necesidades y prioridades de cada paciente. El tipo de carilla a utilizar se decide junto al odontólogo en la primera cita.
Tipo de Carillas | Precio | Número de sesiones | Duración del tratamiento | Calidad de materiales | Estética dental |
---|---|---|---|---|---|
Carillas de porcelana | Alto | 2-4 | 10-15 años | Alta calidad, porcelana resistente | Alta, imitan esmalte natural |
Carillas de composite | Medio | 1-2 | 5-7 años | Menos durabilidad | Buena, pero menos natural |
Alto | 2-4 | 10-15 años | Alta calidad, conservan esmalte | Material ultra fino, máxima estética |
Carillas sin tallar el diente

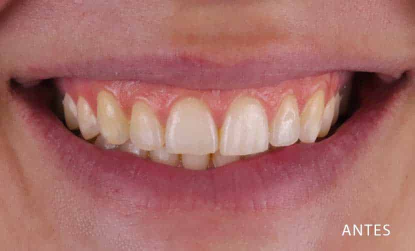
Carillas dentales sin tallado antes

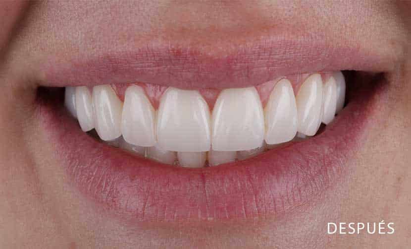
Carillas dentales sin tallado después
¿ES POSIBLE SIEMPRE COLOCAR CARILLAS SIN TALLAR EL DIENTE?
Las carillas sin tallar el diente son una opción estética muy solicitada, pero es importante entender que solo en un porcentaje reducido de casos es posible llevar a cabo este tratamiento.
Para que se puedan colocar carillas sin realizar ningún tipo de tallado, es imprescindible que el paciente cumpla con una serie de requisitos específicos, como una alineación dental adecuada y espacio suficiente para conseguir el resultado deseado.
En nuestra clínica colocamos carillas a diario y contamos con la experiencia necesaria para valorar cada situación de forma individual, garantizando un tratamiento estético que sea funcional, natural y adaptado a las necesidades de cada sonrisa.
«No en todos los casos es posible la colocación o realizar carillas sin desgaste o pulido dental.»
Las microcarillas suelen utilizarse para cerrar espacios entre los dientes (diastemas), corregir ángulos y dar a los dientes un buen aspecto, pues, debido a su extrema estrechez, transmiten el color natural de los dientes por su transparencia.
La principal ventaja consiste en la preservación de la estructura dental saludable.
Si quieres saber si eres candidato para carillas sin tallado, te invitamos a agendar una consulta con nuestros especialistas. En esta primera valoración, analizaremos tu caso de forma personalizada y te asesoraremos sobre la mejor opción para lograr una sonrisa estética y natural.
Preguntas Frecuentes sobre Carillas sin tallar el diente
¿Qué son las carillas sin tallar el diente?
¿Qué son las carillas sin tallar el diente?
Son láminas ultrafinas que se adhieren al diente natural sin necesidad de desgastarlo, proporcionando una mejora estética con mínima intervención.
¿Qué ventajas tienen frente a las carillas tradicionales?
¿Qué ventajas tienen frente a las carillas tradicionales?
Preservan la estructura natural del diente, no requieren anestesia ni fresado y ofrecen resultados altamente estéticos.
¿Son igual de resistentes que las carillas convencionales?
¿Son igual de resistentes que las carillas convencionales?
Sí, su resistencia y estética son comparables o incluso superiores a muchas carillas tradicionales.
¿Se pueden quitar en el futuro?
¿Se pueden quitar en el futuro?
No son totalmente reversibles. Aunque no se desgasta el diente, sí se altera ligeramente la superficie con productos como el ácido grabador, por lo que el diente no queda exactamente igual si se retiran.
¿Qué tipo de pacientes pueden optar por este tratamiento?
¿Qué tipo de pacientes pueden optar por este tratamiento?
Pacientes que desean mejorar la forma, color o tamaño de los dientes, especialmente en casos sin grandes defectos estructurales, y que buscan una opción estética ultraconservadora.