Carillas de composite: qué son y cuándo elegirlas
Descubre cómo las capas de resina pueden transformar tu sonrisa con un tratamiento rápido, mínimamente invasivo y altamente estético en nuestra clínica en Madrid.
¿QUÉ SON LAS CARILLAS DE COMPOSITE Y PARA QUÉ SE UTILIZAN?
Las carillas de composite son finas capas de resina compuesta que deben ser adheridas y moldeadas directamente sobre el diente por un experto para mejorar su aspecto.
Este tratamiento permite corregir imperfecciones como manchas, fracturas o alteraciones en la forma y el tamaño, ofreciendo una solución accesible y menos invasiva en comparación con otros procedimientos dentales, como las coronas.
Además de las laminas de composite directao, que se esculpen en la boca del paciente, también existen carillas de resina indirectas, fabricadas en laboratorio y posteriormente adheridas al diente. Estas ofrecen un acabado preciso, aunque su precio es superior debido al proceso de fabricación. Por este motivo, en muchos casos se opta por alternativas como la cerámica que presentan mayores ventajas, especialmente en las carillas indirectas.
Este tratamiento es ideal para corregir diversas imperfecciones dentales, tales como:
✔ Dientes ligeramente torcidos o desalineados: Las carillas de composite pueden mejorar la alineación y apariencia de dientes que presentan desalineaciones leves, ofreciendo una alternativa estética sin necesidad de tratamientos ortodónticos prolongados.
✔ Dientes manchados o con coloración desigual: Son una solución efectiva para eliminar manchas resistentes al blanqueamiento, incluyendo decoloraciones, manchas blancas o amarillentas, proporcionando una sonrisa más uniforme y brillante.


✔ Fracturas, erosión y desgastes dentales: Los tratamientos con carillas dentales restauran la estructura del diente de forma mínimamente invasiva, devolviendo su funcionalidad y estética sin necesidad de tratamientos más agresivos.
✔ Diastemas y espacios entre dientes: Permiten cerrar espacios no deseados entre los dientes, logrando una sonrisa más uniforme sin necesidad de ortodoncia.
✔ Desgaste por bruxismo: En casos leves, las carillas de composite pueden reconstruir la forma del diente y ofrecer protección adicional; sin embargo, es recomendable usar una férula de descarga en pacientes con bruxismo.
TIPOS TECNICAS: ¿CUÁL ES LA MEJOR TÉCNICA?
Existen diferentes técnicas para su aplicación, cada una con sus propias ventajas y limitaciones. No todas las carillas de composite son iguales.
Carillas de estratificado a mano
El estratificado a mano es la técnica más avanzada dentro de las carillas de composite. Se realiza aplicando manualmente capas de composite con distintas tonalidades y niveles de translucidez, imitando la estructura natural del diente. Su precio es más elevado, pero en manos expertas logra un acabado más natural. Ideal para casos más complejos.
Carillas de composite inyectado
Las carillas de composite inyectado son una opción moderna en la que el material se aplica mediante un molde predefinido basado en un diseño digital. Esto permite una colocación más rápida y uniforme. Pueden ser ideales para quien busca una opción económica y con poca exigencia estética.
Carillas de composite directo
El composite directo es la técnica más sencilla y económica, en la que el odontólogo modela el material directamente sobre los dientes sin necesidad de laboratorio ni diseño previo. Presenta una menor calidad estética en comparación con el estratificado a mano. Está indicado para pacientes que buscan retoques menores o una opción más asequible, sin necesidad de una transformación completa. Puede ser eficaz en reparaciones de pocas piezas.
Personalización del tratamiento con carillas de composite
En nuestra clínica este tratamiento estético destaca por su versatilidad, permitiendo adaptarse a las necesidades de cada paciente. Desde la colocación de una sola pieza para corregir una imperfección puntual hasta un tratamiento completo de veinte carillas, ofrecemos soluciones personalizadas que transforman la sonrisa.
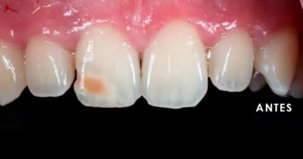
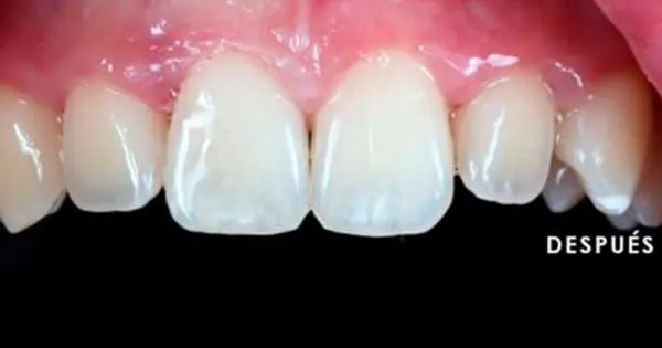
Gracias a la técnica de esculpido directo sobre el diente, podemos ajustar forma, tamaño y color en una sola sesión, o realizar retoques adicionales según la complejidad del caso. Esta flexibilidad nos permite ofrecer tratamientos rápidos, accesibles y adaptados a cada paciente, asegurando siempre resultados estéticos de alta calidad, como se puede apreciar en las fotografías de los tratamientos realizados en Clínica Bernabéu.
Sí, las carillas de composite pueden combinarse con otros tratamientos como blanqueamiento dental, ortodoncia o reconstrucciones dentales, dependiendo del caso y los objetivos estéticos del paciente.
El número de carillas varía según las necesidades estéticas y funcionales de cada paciente. Puede colocarse una sola carilla para corregir un diente puntual o realizar un tratamiento completo de hasta 20 carillas para una transformación total de la sonrisa.

¿CÓMO SE REALIZA EL TRATAMIENTO?
1. Evaluación y planificación
Antes de comenzar el tratamiento, realizamos un análisis detallado de la salud bucal y la estética dental. Mediante fotografías y el Diseño Digital de Sonrisa, podemos previsualizar el resultado final y definir la mejor estrategia para lograr un diseño natural, teniendo en cuenta la demanda estética del paciente.
2. Preparación del diente
En la mayoría de los casos, no es necesario realizar un tallado dental, preservando la estructura natural del diente. En situaciones específicas, puede requerirse un ligero ajuste para optimizar la adhesión de la carilla.
3. Aplicación del composite
El tratamiento se realiza en una sola sesión, aunque en casos complejos puede ser necesaria una segunda visita.
Se prepara ligeramente la superficie del diente y se aplica la resina compuesta en capas finas, esculpiéndola cuidadosamente para lograr la forma y el color deseado.
Durante la realización de la carilla, se pueden utilizar diferentes tipos de composite en un proceso de estratificación, lo que permite recrear la transparencia y textura natural del esmalte dental. Finalmente, la resina se endurece con luz especial para garantizar su resistencia y durabilidad.
4. Pulido y acabado
Para lograr una textura similar al esmalte dental, se realiza un pulido detallado que mejora la estética y prolonga la durabilidad del material. Este proceso garantiza un acabado uniforme y natural.
¿CUÁNTO CUESTAN?
En nuestra clínica ubicada en Madrid, especializada en tratamientos estéticos, el precio de las carillas de composite varía en función de la cantidad de dientes a tratar y la complejidad del caso.
VENTAJAS DE LAS CARILLAS DE COMPOSITE
• Tratamiento rápido: Se realiza en una sola sesión.
• Menos invasivo: En la mayoría de los casos no es necesario tallar el diente.
• Reparación sencilla: En caso de daño, la carilla se puede reparar sin necesidad de sustituirla por completo.
• Precio más accesible que las carillas de porcelana.
¿Cómo cuidar tus tratamiento una vez realizado?
Para mantener el color y la estética de tus carillas de composite, es importante seguir algunos cuidados básicos. Evitar ciertos alimentos y hábitos puede prolongar su duración y mantener tu sonrisa impecable.
Descubre aquí todos los cuidados esenciales para tus carillas: Guía completa de mantenimiento y cuidados
Preguntas frecuentes sobre Carillas de Composite
Son láminas estéticas aplicadas directamente sobre el diente, moldeadas en clínica con resinas compuestas para mejorar forma, color o tamaño sin tallado dental.
Tienen una duración media de 5 a 7 años, dependiendo del cuidado, higiene y revisiones periódicas. Su mantenimiento es sencillo y pueden retocarse fácilmente.
No, el procedimiento es indoloro. Se realiza sin anestesia en la mayoría de los casos y sin tallado del diente, por lo que es totalmente conservador.
Las de composite se hacen directamente en clínica en una sesión y son más económicas; las de porcelana se fabrican en laboratorio, duran más y requieren mayor planificación.
Sí, pero el diente no lucirá el aspecto anterior al tratamiento por el procedimiento realizado.
Pueden oscurecerse ligeramente con el tiempo si se consumen alimentos con pigmentos fuertes, pero se pueden pulir fácilmente para recuperar su brillo original.